free page hit counter

أخباراخبار محليةمنوعات

معلومات :كيفية معرفة عمر أضحية العيد من الأغنام والماعز

♦️ معلومات تطبيقية :
💢💢 كيفية معرفة عمر أضحية العيد من الأغنام والماعز 🐏🐐🐑
🌿🌿 يتم معرفة عمر الغنم والماعز عن طريق معاينة أسنانها الأمامية، وعددها ثمانية أسنان (موجودة في فكها السفلي فقط)، أما الفك العلوي فليس به أسنان أمامية، وتوجد الأضراس بالفكين العلوي والسفلي.
🌿🌿 تولد الأغنام والماعز بثلاثة أزواج من الأسنان اللبنية (ستة أسنان)، وعند الأسبوع الثالث من العمر يظهر الزوج الرابع (لتصبح ثمانية أسنان لبنية).
📌- بعد مرور سنة من العمر يبدأ الحيوان بتبديل الزوج الأول من الأسنان اللبنية بأسنان دائمة وكبيرة نسبيا، وتسمى أسنان الثنايا، ويقال له عندها: « ثني ».
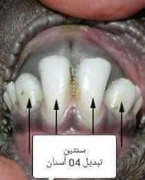
📌- بعد مرور سنتين من العمر يبدأ بتبديل الرباعيات وهما السنين اللذين بعد الثنايا، وهنا يكون قد استبدل 04 أسنان ويقال له “رباع”.
📌- بعد مرور ثلاث سنوات من العمر يبدأ الحيوان بتبديل السنين ما بعد الرباعيات، وهنا يكون قد استبدل 06 أسنان، فيقال له: “سداس”.
📌- بعد مرور أربع سنوات يستبدل الحيوان آخر السنين الأماميين، وهنا يكون قد استبدل 08 أسنان، ويقال عنه: “جامع” أي إستكمل واستجمع تبديل كل أسنانه وهو إعلان عن نهاية سن الشباب وبداية سن الهرم.
📌- في السنة الخامسة تبدأ علامات تآكل الأسنان وتفككها وسقوطها تدريجيا مع تقدم العمر.
🌿🌿 تقبل الله منا ومنكم الأضاحي وصالح الأعمال.
#منقول

اظهر المزيد

مقالات ذات صلة

اترك تعليقاً